News

How Your Brain Manages Cholesterol Could Increase Alzheimer’s Risk

Written by Melinda Krigel

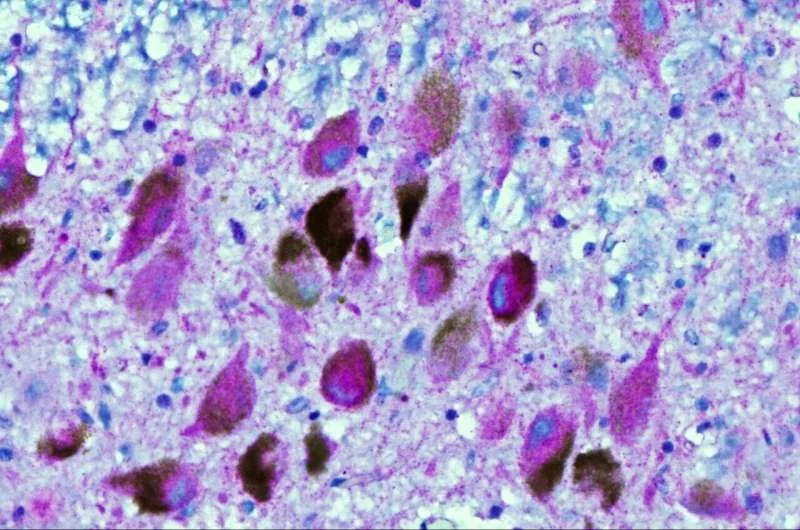
“Alzheimer’s disease is characterized by a host of recognizable cognitive symptoms, but many non-cognitive symptoms like changes in sleep, anxiety and depression can be early signs of the disease. These symptoms can appear decades prior to the onset of cognitive decline, but the mechanisms underlying degeneration at these stages is unclear.”

Continue reading: UCSF Press Release

 
ABC7.PNG

Coronavirus testing: UC Berkeley starts trials for COVID-19 saliva tests

Coverage of COVID-19 testing operations at UC Berkeley.

Note: During the COVID-19 pandemic, I served as a clinical and regulatory liaison for the Innovative Genomics Institute to help them set up COVID-19 testing in the local community. While a departure from dementia and aging research, it was an opportunity to apply my clinical research background to a functionally diverse team.

Watch: ABC 7 News | KPIX | NBC Bay Area

Read: UC Berkeley Press Release

 
neuron%2Balz%2B16x9%2Bb.jpg

Early Alzheimer’s Brain Pathology Linked to Psychiatric Symptoms

Written by Nicholas Weiler

“UC San Francisco researchers, in collaboration with the unique Brazilian Biobank for Aging Studies (BBAS) at the University of São Paulo, have shown that the earliest stages of the brain degeneration associated with Alzheimer’s disease (AD) are linked to neuropsychiatric symptoms including anxiety, depression, loss of appetite, and sleep disturbances.”

Continue reading: UCSF Press Release


Photos


Photos and videos by myself or used with permission
Credits to Cathrine Petersen, Kendall Fitzgerald, and Christian Irian